Mới nhất
Thời sự
Góc nhìn
Tin tức
Chống lãng phí, tham nhũng, tiêu cực
Việt Nam - Kỷ nguyên vươn mình
Mặt trận
Quốc tế
Tiêu điểm Quốc tế
Thế giới 24h
Báo chí - Công nghệ
Báo chí - Truyền thông
Nghề báo
Công tác hội
Kinh tế
Thị trường - Doanh nghiệp
Bất động sản
Kinh tế vĩ mô
Tự hào hàng VN - Tinh hoa hàng VN
Đầu tư - Tài chính
Dự án - Đầu tư
Kinh doanh - Tài chính
Pháp luật
Điều tra
Vụ án
Xã hội
Giáo dục
Giao thông
Sức khỏe
Đời sống
Môi trường
Văn hóa
Giải trí
Thể thao
Đời sống văn hóa
Du lịch
Xe
Media
Công luận 24H
Rubik 360
Trạm cuối tuần
Thời sự
Góc nhìn
Tin tức
Chống lãng phí, tham nhũng, tiêu cực
Việt Nam - Kỷ nguyên vươn mình
Mặt trận
Quốc tế
Tiêu điểm Quốc tế
Thế giới 24h
Báo chí - Công nghệ
Báo chí - Truyền thông
Nghề báo
Công tác hội
Kinh tế
Thị trường - Doanh nghiệp
Bất động sản
Kinh tế vĩ mô
Tự hào hàng VN - Tinh hoa hàng VN
Đầu tư - Tài chính
Dự án - Đầu tư
Kinh doanh - Tài chính
Pháp luật
Điều tra
Vụ án
Xã hội
Giáo dục
Giao thông
Sức khỏe
Đời sống
Môi trường
Văn hóa
Giải trí
Thể thao
Đời sống văn hóa
Du lịch
Xe
Media
Công luận 24H
Rubik 360
Trạm cuối tuần
sỏi mật
Cập nhập tin tức sỏi mật
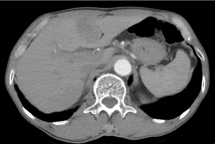
Sỏi mật có thể gây ung thư nếu không được điều trị sớm
(CLO) Viên sỏi đường mật thường được nhiều người bỏ qua, đôi khi lại là mầm mống của một căn bệnh ung thư nguy hiểm. Đây không chỉ là một bệnh lý hiếm gặp mà còn là một thách thức lớn trong y học do khó chẩn đoán sớm và điều trị phức tạp.
Sức khỏe
Lấy hàng trăm viên sỏi trong bụng người phụ nữ bị sỏi mật
(CLO) Bệnh viện Đa khoa khu vực Cẩm Phả vừa phẫu thuật thành công cho người phụ nữ bị túi mật hai ngăn hiếm gặp, hàng trăm viêm sỏi được lấy ra từ bụng bệnh nhân.
Đọc nhiều
Bản quyền thuộc về: Báo điện tử Nhà báo & Công luận. Cấm sao chép dưới mọi hình thức nếu không có văn bản chấp thuận
POWERED BY
ONE
CMS
- A PRODUCT OF
NEKO